Esaote Magnifico - otevřená magnetická rezonance

Otevřená magnetická rezonance nové generace od Esaote

 

Technologický vývoj v oblasti magnetické rezonance v posledních letech zaznamenal významný vývoj zejména v získávání a zpracování dat, což vedlo k podstatnému zlepšení kvality obrazu a zkrácení doby skenování.

 

Dnes se většina instalací MRI týká služeb založených na výsledcích, které řeší nejen specifické klinické potřeby, ale také provozní a finanční nároky.

 

To je síla Magnifico společnosti Esaote, která obsahuje nejnovější technologii MRI pro nekompromisní kvalitu diagnostiky v kombinaci s permanentním magnetem, který zaručuje nízké provozní náklady.

Polohování a pohodlí pacienta

 

 

Otevřený systém, volné polohování cívky, laserové vyrovnání, design dělené cívky, průhledná hlavová cívka, snadno přístupné lůžko pacienta. To vše přispívá k tomu, aby polohování pacienta bylo snadné, rychlé a pohodlné.

Klaustrofobní pacienti

 

Magnifico je ten správný systém pro klaustrofobické pacienty. Otevřený magnet z něj jednoduše dělá pohodlný zážitek z magnetické rezonance pro všechny pacienty, zejména děti. Magnifico navíc přichází s průhlednou hlavovou cívkou pro větší pohodlí pacienta.

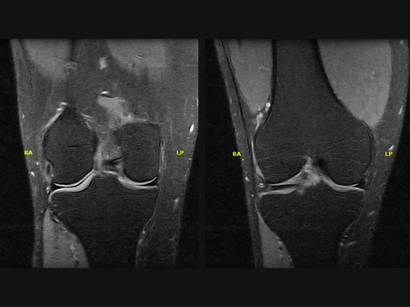
Pooperační zobrazování

 

Pacienti s kovovými implantáty tvoří stále větší část populace MRI. Magnifico MRI je optimální řešení, protože systém má přirozeně nízkou úroveň citlivosti na kovy ve srovnání s tradiční MRI. 

Společně s vyhrazenými MAR sekvencemi nabízí Magnifico vysoce kvalitní diagnostiku také v přítomnosti většiny implantátů

Intuitivní uživatelské rozhraní Magnifico

 

Magnifico, založené na rozhraní typu Windows®, se snadno učí a používá s uživatelským rozhraním a protokoly navrženými pro vysoce kvalitní zobrazování. Díky přednastaveným protokolům jsou vyšetření rychlá a jednoduchá.

 

Zkušení uživatelé si mohou přizpůsobit všechny parametry skenování a zákaznické sekvence lze uložit a integrovat do běžné struktury menu pro následné použití.

 

Magnifico obsahuje kompletní softwarový balík: dodává se s rozsáhlou řadou nástrojů pro zpracování, zobrazení a analýzu snímků.

Velkolepá MRI:

 

Magnetická rezonance a RF stínění se díky svému chytrému designu vejdou do prostoru 20 m2 .

 

Příklad typické instalace.

 

Požadavky na napájení:

  • Spotřeba energie je menší než 3 kW
  • Napájení z jednofázové zásuvky 220 V

Esaote Magnifico - otevřená magnetická rezonance

 

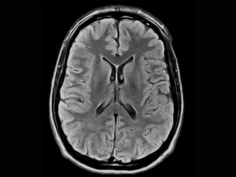
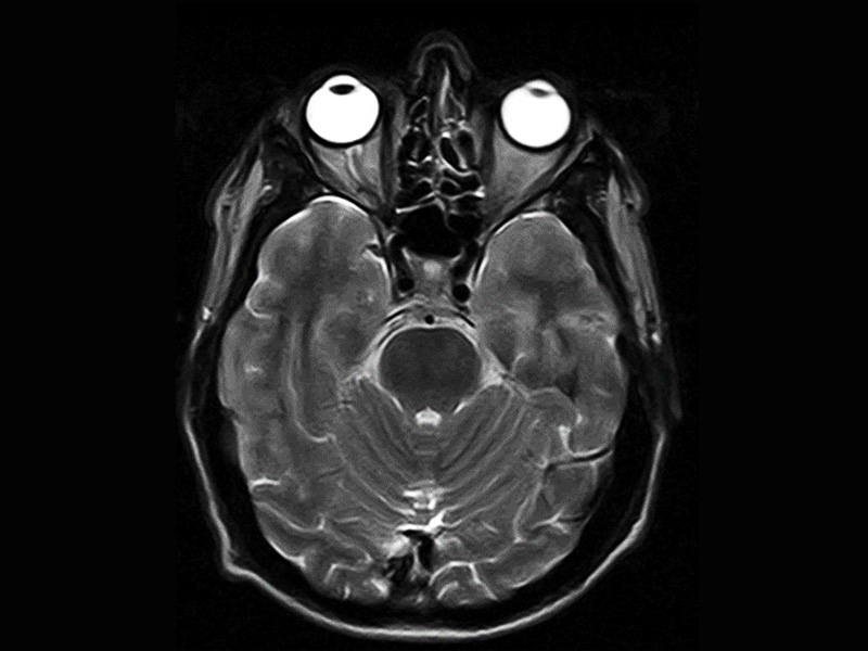
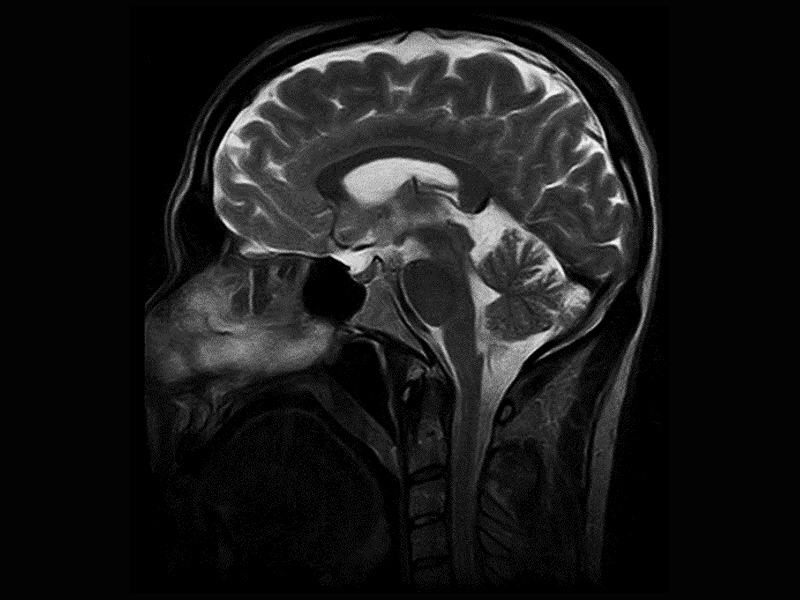
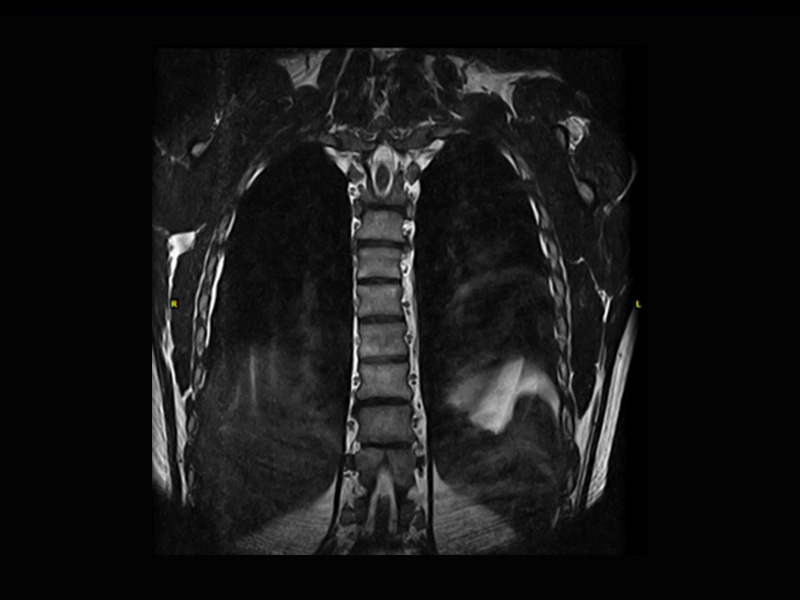
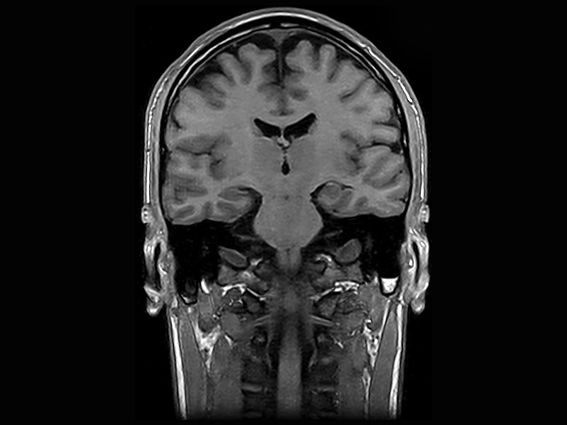
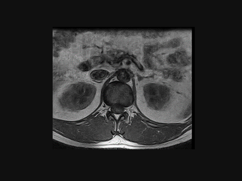
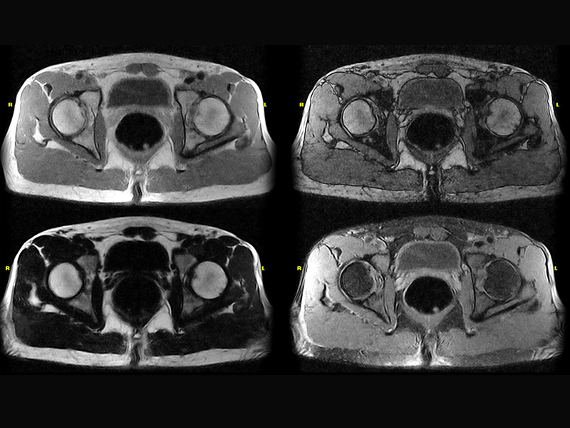
Klinické snímky

 


Ke stažení
Prospekt Magnifico (PDF - 2.4 Mb)

Kontaktujte obchodního zástupce :

 

Ing. Lukáš Kuruc

+420 777 638 713

kuruc@chironax.com

Chironax Frýdek.Místek s.r.o., Revoluční 1280, 738 01 Frýdek Místek

 

tel.: 558 638 711, mobil: 777 638 711, email: chironax@chironax.com

 

Bextron Medical s.r.o., Podnikatelská 539, 190 11 Praha 9

 

tel.: 777 638 732, email: bextron@bextron.cz